Some Of What We Do
Before & After Gallery
Las Vegas Dentist Dr. Azimi Can Give You the Smile You've Always Wanted! Dental Implants, Invisalign™ Invisible Braces Braces, Porcelain Dental Veneers, Teeth Whitening, & More!
Dental Implants
Dental Implant Bridge
All-on-4 Full Mouth Dental Implants
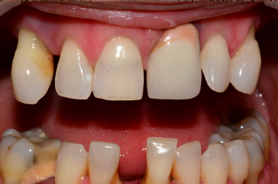
Before
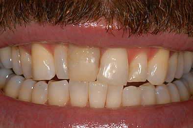
After
Dental Veneers
Before
After
Dental Veneers
Before
After
Dental Veneers
Before
After
Dental Veneers
Before
After
Smile Makeover
Before
After
Dental Veneers
Before
After
Dental Veneers
Before
After
Dental Restoration
Before
After
Dental Veneers
Before
After
Smile Makeover
Before
After
All On 4 Implants
Before
After
All On 4 Implants
We Can Give You A Brand New Smile, So Call Us and Let’s Discuss How We Can Help You! Our Charleston Location at (702) 759-0005 or our Durango Location at (725) 735-5100





